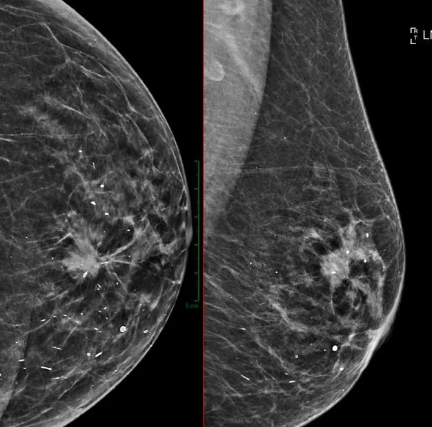
NEW UPDATE: We have eventually obtained out license to install the new mammography unit and have since also submitted all our quality assurance testing. As such we are now again able to provide a mammography service at our St Anne's branch! For more info or bookings phone 033 392 8800
We have recently installed a Hologic Horizon Wi DEXA bone density scanner at our Hilton Health and Wellness centre branch.
Have you been referred for a breast biopsy? Has your mammogram showed a suspicious lesion? Visit http://www.xraypmb.co.za/s/Image-guided-breast-biopsy-short… to learn more about how we do image guided breast biopsies.
Dr Kauffman & Partners
Est : 1947
We are a Pietermaritzburg based general radiology practice with dedicated staff providing high quality medical imaging.
